Accéder au contenu principal

Le mot du Président

Samedi 13 Octobre 1990

Les portes de l’UFR Odontologie de Bordeaux s’ouvrent sur l’amphithéâtre Benoit, rempli à craquer par plus de 200 dentistes. Ils viennent assister à une première unique pour l’époque: une démonstration en direct de Prothèse Fixée et Implantaire, sous la direction de Jean Geoffrion et Jean-Pierre Blanchard. Les patients sont installés dans la salle de Travaux Pratiques à l’étage, et deux caméras retransmettent les images sur écran géant. La salle est bondée; il a fallu louer des climatiseurs d’appoint pour l’occasion.

Les turbines sifflent tandis que Claude Gautier et Jean Geoffrion préparent des couronnes céramiques et des facettes, puis le silence s’impose quand Jean-Pierre Blanchard réalise une empreinte sur implants. En salle, Serge Mariescu joue le rôle de modérateur devant des praticiens médusés.

Cette journée de formation est bien évidemment un succès incroyable et restera dans la mémoire de tous les participants: l’Association Aquitaine Prothèse était née.

Jeudi 25 septembre 2025

Les années ont passé, mais la passion et l’envie d’apprendre ensemble sont toujours les mêmes. Depuis plus de 30 ans, les Journées d’Octobre ont ancré dans l’ADN de l’AAP ce qui a fait leur succès : de solides bases théoriques au service de la clinique du quotidien.

L'AAP est toujours là, pour la 35ème fois en 36 ans , avec ce qui fait sa réputation depuis toujours: une ambiance studieuse et conviviale, des conférenciers d'excellence et un regard tourné plus que jamais vers l'exercice quotidien de l'omnipraticien.

Nous espérons vous retrouver nombreux  les Jeudi 25 et Vendredi 26 septembre 2025 au Rocher de Palmer de Cenon. Tous les membres du bureau vous attendent avec impatience.

Adrien Lastrade
Président de l’AAP

Jeudi 25 septembre 2025

Dr Nicolas LEHMANN (Andrézieux)

Ancien Assistant Hospitalo-Universitaire (Université de Lyon)

Exercice libéral

C.E.S. Technologie des matériaux

 

L'adhésion: Réussir tous les collages

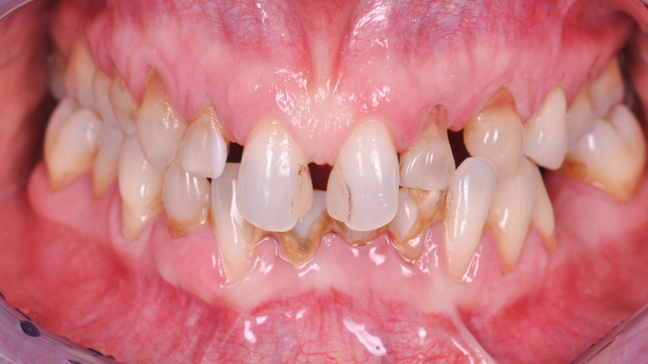
La réalisation d’une restauration adhésive (directe ou indirecte) met en jeu les tissus dentaires (émail, dentine) avec des matériaux de restauration : adhésif + composite pour les restaurations directes ; adhésif + matériau d’assemblage + matériau de restauration s’il s’agit d’une restauration indirecte. Ceci engendre la présence d’interfaces. Chacune d’entre elles doit être performante afin d’assurer la rétention maximale de la restaurationmais aussi l’étanchéité immédiate et à long terme. Maîtriser les protocoles de collage en cohérence avec les substrats (tissus dentairesou matériaux prothétiques) que l’on doit coller est important afin de proposer des restaurations adhésives fiables et reproductibles à nos patients.

A l'issue de cette formation, vous aurez la capacité de:

Sélectionner un système adhésif en fonction de la situation clinique

• Connaître les traitements de surface des différents matériaux de restauration avant collage (composite, céramique, matériau hybride, métal)

Décider du mode d’assemblage en fonction du matériau de restauration


Dr Patrice MARGOSSIAN (Marseille)

Ancien Maître de Conférences (Université Marseille)

Exercice libéral en Paro-Implantologie

Co-directeur du Diplôme Universitaire d'Implantologie (Université de Marseille)

Formateur à Smile Concept

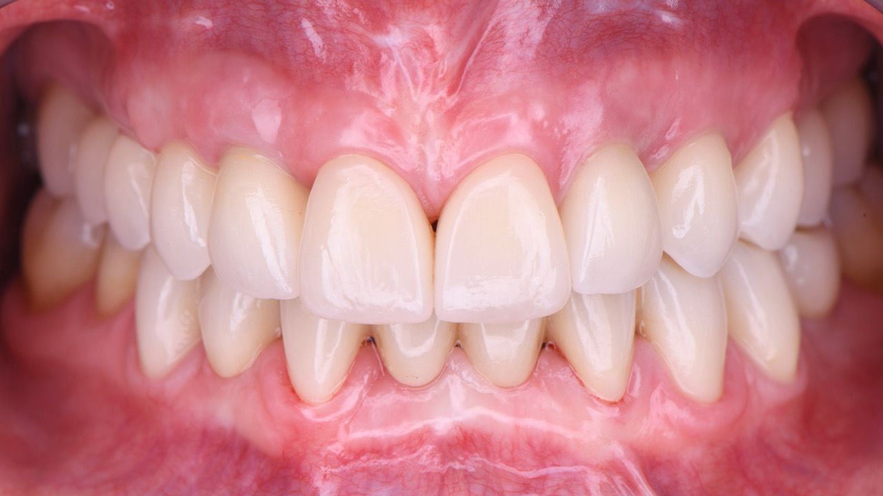
Restauration esthétique implantaire: Régénération prothétique guidée

La restauration prothétique du secteur antérieur maxillaire représente un défi esthétique majeur. Le traitement esthétique est basé sur la création de dents aux proportions agréables et leur intégration harmonieuse avec la gencive, les lèvres et le visage du patient.

Bien que faisant appel à des thérapeutiques et approches différentes, ces objectifs sontcommuns à tous les types de supports, qu’ils soient dentaires ou implantaires. Toutefois les restaurations implantaires nécessitent une mise en oeuvre très spécifique tant chirurgicale que prothétique.

 

A l'issue de cette formation, vous aurez la capacité de:

• Transmettre des protocoles standardisés, fiables et reproductibles

• Assurer l’intégration esthétique et fonctionnelle des restaurations antérieures implantaires.

• Rendre simples et reproductibles les traitements esthétiques implantaires

• Proposer une méthodologie et des outils efficaces.

Vendredi 26 septembre 2025

Dr Corinne LALLAM

Ancienne Assistante Hospitalo-Universitaire (Université Paris V)

Exercice libéral en Paro-Implantologie

Diplôme Universitaire de Parodontie (Université Paris V)

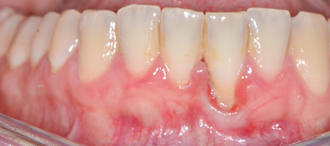
Chirugies parodontale et muco-gingivale: Intégrer les techniques en pratique quotidienne

La chirurgie parodontale, incluant les élongations coronaires, frénectomies et greffesgingivales libres, permet de traiter les défauts tissulaires autour des dents et implants. Maîtriser ces interventions offre des bénéfices fonctionnels et esthétiques essentiels pour le succès des traitements. L’élongation coronaire améliore l’accès à la restauration prothétique et harmonise le sourire gingival. La frénectomie élimine les tensions d’un frein labial ou lingual, favorisant la stabilité prothétique et prévenant les récessions et troubles de phonation. Les greffes gingivales libres augmentent la quantité de gencive attachée, stabilisant ainsi les dents et implants. Des techniques moins invasives, comme les lambeaux minimalement invasifs, privilégient une meilleure cicatrisation.

Des vidéos montrant chaque étape chirurgicale, des protocoles étape par étape permettront aux praticiens de s’approprier progressivement ces procédures autour de cas cliniques du quotidien.

A l'issue de cette formation, vous aurez la capacité de:

  • Connaître les indications et contre-indications des techniques chirurgicales et muco-gingivales parodontales
  • Maîtriser les différentes étapes des protocoles techniques de chaque intervention
  • Savoir les intégrer dans un plan de traitement pluridisciplinaire
  • Connaître les instrumentations nécessaires
  • Maîtriser les risques et gérer certaines complications

Vendredi 26 septembre 2025

Dr Mike COTELLE

Exercice libéral limité à l'Occlusodontie

Diplôme Universitaire d'Occlusodontie

Chargé d'enseignement au D.U. d'Implantologie (Université de Lille)

Occlusion, optimiser sans perturber: Les clés du succès

L’ajustement occlusal des restaurations dentaires, qu’elles soient directes ou indirectes, est une étape quotidienne mais souvent source de doutes et d’approximations. La peur de l’excès peut mener à des restaurations inadéquates, causant instabilité et sursollicitation musculo-articulaire. Le protocole actuel, basé sur l’avis du patient, est souvent frustrant. Un protocole simple et reproductible est proposé pour assurer un bon ajustement occlusal, respectant l’occlusion initiale du patient. Ce protocole est efficace et ne nécessite pas de matériel supplémentaire. Des outils numériques seront mentionnés. Une partie de la séance sera consacrée à l’ajustement des prothèses implanto-portées, similaire au protocole général. Enfin, des situations cliniques nécessitant une réhabilitation globale seront abordées, avec un protocole simple pour les réaliser sereinement.

A l'issue de cette formation, vous aurez la capacité de:

  • Maîtriser l’étape d’ajustement occlusal pour tout type de restaurations
  • Utiliser un protocole et un matériel adapté
  • Prendre en charge l’ajustement des prothèses implanto-portées sereinement
  • Gérer les réhabilitations globales

En bref, au menu des 34 èmes Journées de l'AAP

Programme récapitulatif

Jeudi 25 septembre 2025
  • Conférence 1 - 9h00
    Dr Nicolas LEHMANN

    L'adhésion: Réussir tous les collages

  • Conférence 2 - 14h00
    Dr Patrice MARGOSSIAN

    Restauration esthétique implantaire: Régénération prothétique guidée

Vendredi 26 septembre 2025
  • Conférence 3 - 9h00
    Dr Corinne LALLAM

    Chirurgies parodontale et muco-gingivale: Intégrer les techniques en pratique quotidienne

  • Conférence 4 - 14h00
    Dr Mike COTELLE

    Occlusion, optimiser sans pertuber: Les clés du succès

  • Clôture - 18h00
    Assemblée Générale

Venir au Rocher de Palmer

En voiture :
DEPUIS LES QUAIS DE BORDEAUX
Emprunter le Pont Saint Jean ou le Pont Chaban-Delmas pour rejoindre la rive droite et suivre la direction haut Cenon.
DEPUIS LA ROCADE :
Prendre la sortie n°26.
PARKING :
Parc de stationnement gratuit du Château Palmer et Parc-Relais Buttinière.

En tramway :
LIGNE A : Direction La Gardette, arrêt Buttinière ou direction Floirac Dravemont, arrêt Palmer.

En vélo :
Piste cyclable tout au long de l'avenue Thiers jusqu'au Rocher de Palmer. Borne V3 à la station Buttinière.