Accéder au contenu principal

Les soirées de l'AAP

Jeudi 20 Mars 2025 - 20 heures

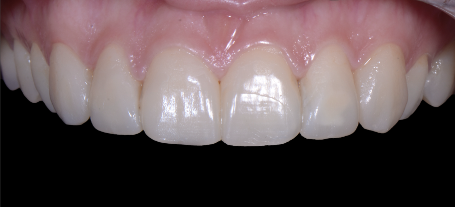
Composites injectés en secteur antérieur

Animée par le Dr Rodolphe ZUNZARREN (Ancien Assistant Hospitalo-Universitaire)

Lieu : Espace Beaulieu (Bordeaux)

Renseignements par email: Cette adresse e-mail est protégée contre les robots spammeurs. Vous devez activer le JavaScript pour la visualiser.

Tarifs :

Membres : 55€
Étudiants T1/internes : 55€
Non-Membres : 75€


Règlement & Inscriptions :
Par courrier, envoyez votre chèque à l'ordre de AAP, à:

A.A.P.
(Soirée composites)
180, Rue des Orangers
33200 BORDEAUX

Cocktail dinatoire inclus
(Places limitées)

Espace Beaulieu

145, Rue de Saint-Genès
33000 BORDEAUX

Comment se rendre à l'Espace Beaulieu ?

En voiture :

Proximité immédiate des boulevards (Barrière Saint Genès)

Parking de plain-pied 80 places - Accessibilité aux personnes à mobilité réduite -

En bus:

  • Bus 26 : Arrêt Ségur
  • Bus 9 : Arrêt Barrière Saint Genès
  • Bus 4 : Arrêt Caserne Boudet
  • Bus 11 : Arrêt Caserne Boudet
  • Tram B : Arrêt Bergonié ou Barrière Saint Genès