Accéder au contenu principal

Les soirées de l'AAP

Jeudi 15 Décembre 2022 - 20 heures

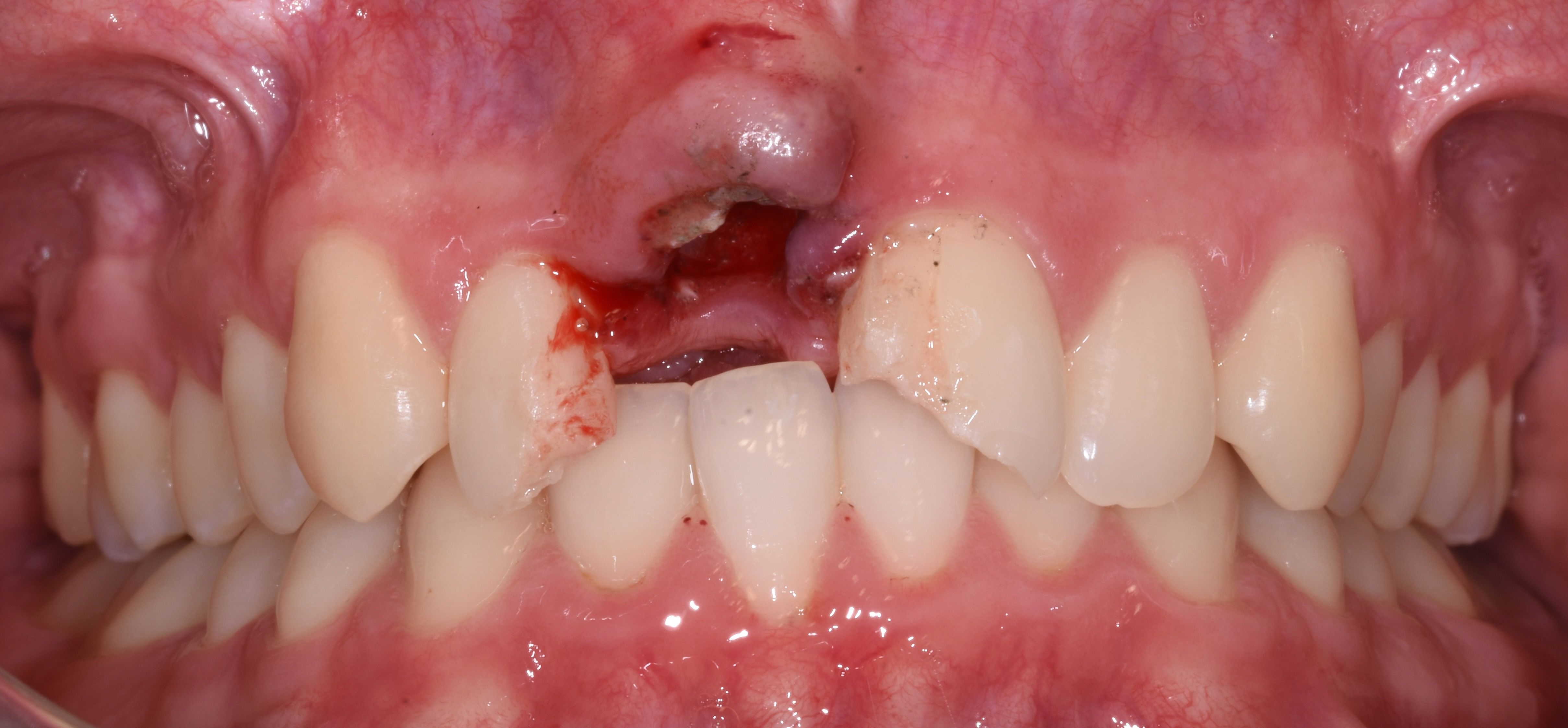
Gestion thérapeutique des traumatismes des dents antérieures

animée par le Dr Elsa Garot (Maitre de Conférences)

Lieu : Espace Beaulieu (Bordeaux)

Renseignements par email : Cette adresse e-mail est protégée contre les robots spammeurs. Vous devez activer le JavaScript pour la visualiser.

Tarifs :
Membres : 50€
Non-Membres : 65€
 
Règlement & Inscriptions :
Par chèque à l'ordre de AAP, à adresser à:
 
A.A.P.
(Soirée Gestion des traumas)
180 Rue des Orangers
33200 BORDEAUX

Cocktail dinatoire inclus
Places limitées

Espace Beaulieu

145 Rue de Saint-Genès
33000 BORDEAUX